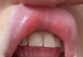
Home » Without Label » 36+ schön Foto Geschwollene Unterlippe Innen - Lippe Gebissen Knoten Was Hilft Gegen Geschwollene Lippen Hausmittel Und Tipps / Sie ist weder verfärbt, noch sind risse, pusteln oder ähnl.
36+ schön Foto Geschwollene Unterlippe Innen - Lippe Gebissen Knoten Was Hilft Gegen Geschwollene Lippen Hausmittel Und Tipps / Sie ist weder verfärbt, noch sind risse, pusteln oder ähnl.
36+ schön Foto Geschwollene Unterlippe Innen - Lippe Gebissen Knoten Was Hilft Gegen Geschwollene Lippen Hausmittel Und Tipps / Sie ist weder verfärbt, noch sind risse, pusteln oder ähnl.. Manchmal entsteht daraus eine handfeste entzündung mit hochroten, schmerzhaft geschwollenen und eventuell krustigen lippen. Ursachen der schwellung der oberlippe nach innen. Erythema multiforme, sonnenbrand, kaltes und trockenes wetter oder verletzungen, können schwellungen an den lippen hervorrufen. Natürlich bringt dieser prozess eine menge unannehmlichkeiten mit sich. Bisse auf die lippe sind ebenfalls zu vermeiden.
Eine schwellung der lippe kann sowohl schmerzlos sein als auch mit schmerzen einhergehen. Gestern abend schwoll meine oberlippe einseitig, ohne äußere einwirkung oder schmerzen, innerhalb von 30 minuten an! Harmlose ursachen dafür können sein: Lesen sie, wie sie diese erkennen und behandeln. Die unterlippe ist links an der stelle nicht ohne ein komisches gefühl der verhärtung und des hindern zu bewegen.
Erkrankungen Der Lippen Und Der Mundhohle Springerlink from media.springernature.com Gestern abend schwoll meine oberlippe einseitig, ohne äußere einwirkung oder schmerzen, innerhalb von 30 minuten an! Kleine weiße bläschen bilden sich dann auf der unterlippe oder auf der innenseite der unterlippe. Eine geschwollene unterlippe kann auch ohne schmerzen auftreten. Je nach ort des lipoms können außerdem schmerzen auftreten, wenn es bei bewegungen gedrückt oder gedehnt wird. Dies ist eine seltene entzündliche erkrankung, die erwachsene männer mehr als jede andere gruppe betrifft. Durch den kontakt werden vor allem bakterielle entzündungen begünstigt. Wenn geschwollene lippen abgeschwollen sind, dürfen sie sich freuen und die dauer kann je nach begründung sehr unterschiedlich sein. In einigen fällen kommt es im zuge einer geschwollenen unterlippe auch zu einer bläschenbildung:
Geschwollenen lippen kann auch eine infektion zugrunde liegen.
Geschwollenen lippen kann auch eine infektion zugrunde liegen. Sie ist einfach hart innen, leicht geschwollen und nicht so weich wie die andere hälfte. Jedenfalls ist es keine offene wunde. Das liegt daran, dass diese dann andere ursachen aufweist. 2 antworten thommyhilfiger 22.01.2017, 23:01. Geschwollene lippen können durch viele verschiedene ursachen entstehen. Wenn ich mit der zunge innen fühle dann spüre ich die stelle der verletzung. Das liegt daran, dass diese dann andere ursachen aufweist. Andere gründe für das auftreten von pickeln auf der schleimhaut der mundhöhle. Typischerweise entsteht eine schwellung im bereich der unterlippe durch einen virus ausgelösten herpes labialis. Ursachen von blasen auf der innenseite der lippe. Sie ist nach einer nacht immer noch dick. In vielen fällen wird die schwellung der oberlippe von offenen oder blutenden stellen begleitet.
Geschwollene lippen innen würden das durchaus erklären. Ich hab sie alle ausprobiert. Mit teebaumöl muss man super vorsichtig sein, weil es hautentzündungen verursachen kann und die haut reizt. Bei geschwächtem immunsystem können neben herpes auch pickel an der lippe auftreten, die durch die hohe anzahl von nerven sehr schmerzhaft sind. Die beschwerden an den lippen verstärken sich, wenn die unangenehm spannende haut beleckt oder benagt wird.
Stomatitis Mundfaule Ursachen Symptome Behandlung from www.deutsche-familienversicherung.de Wenn die lippe von innen her angeschwollen ist, liegt das problem wahrscheinlich in der infektion oder dem entzündlichen prozess. Es kann sowohl auf der lippe selbst von außen als auch auf der schleimhaut im inneren sein. Und geht die geschwollene lippe über nacht weg?.komplette frage anzeigen. Eine anschwellen der lippe allein ist nicht gefährlich. Wenn geschwollene lippen abgeschwollen sind, dürfen sie sich freuen und die dauer kann je nach begründung sehr unterschiedlich sein. Wenn sie jedoch noch andere, ernsthaftere symptome haben, suchen sie sofort einen arzt auf. Schwellung an der innenseite der lippe m rahmen einer allergischen reaktion kann es zu einer lippenschwellung der lippeninnenseite kommen. Lesen sie, wie sie diese erkennen und behandeln.
Dieser kann sich in den bereichen des auges und des hirnes ausbreiten und die beiden organe mit infizieren.
Geschwollene lippen innen würden das durchaus erklären. Dies ist eine seltene entzündliche erkrankung, die erwachsene männer mehr als jede andere gruppe betrifft. Diese lösen bei einer berührung unangenehme schmerzen oder ein brennen aus. Ursachen der schwellung der oberlippe nach innen. Die gleichen beschwerden werden auch ausgelöst von sonnenbrand, verbrühung an heißen speisen oder eisenmangel. Gerade im winter sollte die austrocknung der räume durch heizungsluft vermieden werden. Mit teebaumöl muss man super vorsichtig sein, weil es hautentzündungen verursachen kann und die haut reizt. In einigen fällen kommt es im zuge einer geschwollenen unterlippe auch zu einer bläschenbildung: Wenn deine lippe durch eine verletzung geschwollen ist, wird sie während des heilungsprozesses für infektionen anfällig sein. Aber sehr unangenehm und beängstigend! Eine geschwollene unterlippe kann auch ohne schmerzen auftreten. Bei der medizinischen therapie, in diesem fall wird der arzt eine antiseptische verschreiben, sowie zu beseitigen sind die ursachen in den behandlungsplan präparate eingeführt. Betroffene bemerken oft nur einen knubbel unter der haut, der sich prall und gummiartig anfühlt und leicht verschieben lässt.
Meist verursacht ein lipom keine symptome. Bei vielen patienten sind kontaktallergien auf bestimmte pflegeprodukte oder lebensmittel ursächlich. Wie bei jeder schwellung hilft kälte auch bei geschwollenen lippen. Eine angeborene krankheit, das hereditäre angioödem, verursacht ebenfalls immer wieder schwellungen. 2 antworten thommyhilfiger 22.01.2017, 23:01.
Herpes Im Mund Was Kann Man Dagegen Tun Zava Dred from res.cloudinary.com Das liegt daran, dass diese dann andere ursachen aufweist. Wie bei jeder schwellung hilft kälte auch bei geschwollenen lippen. Geschwollene lippen innen würden das durchaus erklären. Das liegt daran, dass diese dann andere ursachen aufweist. Geschwollene lippen können durch viele verschiedene ursachen entstehen. Wenn deine lippe durch eine verletzung geschwollen ist, wird sie während des heilungsprozesses für infektionen anfällig sein. Oft fasst der patient die geschwollene oberlippe permanent an. Sie ist nach einer nacht immer noch dick.
Wenn sie jedoch noch andere, ernsthaftere symptome haben, suchen sie sofort einen arzt auf.
Behandle die schwellung mit warmen und kalten kompressen und halte die geschwollene lippe sauber. Geschwollene lippen innen würden das durchaus erklären. Nein, sie wird dich noch ein paar tage begleiten. Geschwollenen lippen kann auch eine infektion zugrunde liegen. Ist der ischiasnerv gereizt oder eingeklemmt, können starke schmerzen auftreten. Ein sonnenbrand, eine entzündung (zum beispiel im winter bei trockener heizungsluft), eine leichte verbrennung (zum beispiel beim essen oder trinken), ein insektenstich Manchmal verursacht es schmerzen, wenn das lipom gedrückt wird. Dies ist eine seltene entzündliche erkrankung, die erwachsene männer mehr als jede andere gruppe betrifft. Wenn geschwollene lippen abgeschwollen sind, dürfen sie sich freuen und die dauer kann je nach begründung sehr unterschiedlich sein. Jedenfalls ist es keine offene wunde. Eine geschwollene unterlippe hat je nach grunderkrankung eine andere prognose und krankheitsverlauf. Häufig deutet die schwellung in diesem bereich auch eine entzündung an. Wenn die lippe von innen her angeschwollen ist, liegt das problem wahrscheinlich in der infektion oder dem entzündlichen prozess.